Dental Implants: Everything You Need To Know In Prosper, TX

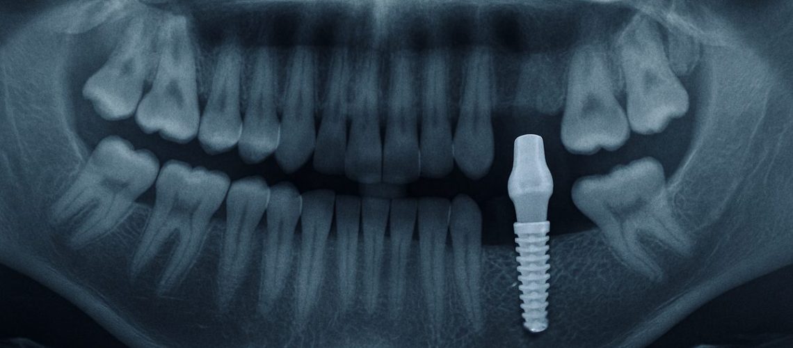
Image of a mouth x-ray showing a dental implant in the lower jaw, with an emphasis on the implant integrating with the jaw bone. No text on the image.

Dental implants are a long-term solution for replacing missing teeth.

This guide explains who can benefit, what implants are made of, the typical steps from consult to final crown, and what to expect for healing, cost, and timing. You’ll learn about single-tooth implants, implant-supported bridges and dentures, same-day options, and the key questions to ask a surgeon. If you’re searching for dental implants in Prosper, TX, this article will help you decide if implants are right for you and how to prepare for a consultation.

What Are Dental Implants?

A dental implant is a small titanium post placed into the jaw to act as a tooth root. After the bone fuses to the post, a crown or denture attaches to it. The implant post and the crown are separate components: the post supports the tooth, and the crown resembles the visible tooth. Unlike bridges or removable dentures, implants replace the root and preserve bone, so they feel and function more like natural teeth.

Benefits Of Dental Implants

Implants restore chewing strength, allowing you to eat a wider range of foods. They help speech by giving stable support for the teeth. Implants also preserve jawbone by stimulating bone growth, much like a natural root, which helps prevent your face from sagging over time. Aesthetically, they look natural and are custom-matched to your smile. Because implants are fixed and durable, they often provide better long-term value than removable dentures, which require frequent repairs or replacement.

Who Is A Good Candidate For dental implants in Prosper, TX

Oral health basics

Good candidates have healthy gums and enough jawbone to hold an implant. If the bone has shrunken after a missing tooth, a bone graft can rebuild it. Untreated gum disease should be managed before implant surgery to reduce the risk of failure.

Medical considerations

Certain health issues affect healing. Poorly controlled diabetes, heavy smoking, and some medications (like drugs that affect bone metabolism) can raise risks. Your surgeon will review your medical history and may coordinate care with your physician to optimize outcomes.

Age and lifestyle

Adults of many ages can get implants. Younger patients typically require fully developed jaw growth before undergoing placement. Good daily oral hygiene and regular dental visits help implants last. Lifestyle choices like quitting smoking and controlling chronic conditions improve success.

The Typical Dental Implant Process

Consultation and 3D imaging

Your first visit will include an exam and 3D imaging (CBCT) to evaluate bone, nerves, and sinuses. The surgeon reviews options, creates a digital plan, and explains costs, timelines, and sedation choices. This visit determines whether extra steps, such as grafting, are needed.

Surgery and implant placement

During implant placement, the surgeon inserts the titanium post into the jawbone. Procedures can be done with local anesthesia, oral sedation, or IV sedation for comfort. Some patients receive a temporary tooth on the same day (immediate loading), while others wait for the healing process to be completed.

Healing and final restoration

Bone typically fuses to the implant over several weeks to months, a process known as osseointegration. Once your teeth are stable, your dentist or surgeon will place a custom crown, bridge, or denture. You’ll return for checks and adjustments to ensure fit and function.

Types Of Implants & Restorations

Single-tooth implants

A single implant replaces one missing tooth without altering adjacent teeth. It’s the preferred option when only one tooth is missing for long-term health.

Implant-supported bridges and dentures

Multiple implants can support bridges or dentures, giving more stability than traditional removable options. Implant-supported dentures reduce slipping and improve chewing and comfort.

Same-day/full-arch solutions

For patients missing many teeth, full-arch solutions can provide a fixed set of teeth in one day, when conditions allow. These same-day restorations rely on bone quality and surgical planning, and may involve the use of provisional prosthetics followed by final restorations.

Factors That Impact Cost and Timeline for Dental Implants Prosper, TX

Extent of treatment

Costs rise with the number of implants, extractions, and bone grafts. A single implant is less expensive than a full-arch reconstruction. Complex anatomy or sinus lifts add time and expense.

Materials and lab work

Material choices affect price and durability. Zirconia crowns are strong and biocompatible; porcelain offers excellent esthetics. In-house labs can expedite delivery and sometimes reduce costs compared to outside labs.

Insurance, financing, and payment options

Dental insurance may cover a portion, but often has limits. Many practices offer financing, in-house payment plans, or third-party loans to spread costs. Ask about estimates and what’s included in the quote.

Questions To Ask Your Oral Surgeon About dental implants prosper tx

Ask about the surgeon’s board certification and experience with implant cases like yours, success rates, and complication management. Inquire about imaging and guidance tools (CBCT, dynamic guidance), sedation options, typical healing timelines, and warranties or guarantees on restorations. Also ask for before-and-after photos and patient references.

Why Choose Texas Center for Oral Surgery & Dental Implants

Texas Center is a family-owned specialist practice led by board-certified oral and maxillofacial surgeons with over 50 years of combined experience. They offer on-site IV sedation, concierge support, and a fully digital in-house lab to control quality and speed. The team focuses on predictable, minimally invasive care and works closely with referring dentists to tailor treatment plans.

Key technologies and advantages

The Center utilizes X-Nav dynamic guidance for precise implant placement, CBCT imaging for treatment planning, Roland zirconia milling, and in-house 3D printing for rapid custom restorations. Additionally, PIC photogrammetry and Trios scanners are employed for accurate digital impressions, while PRF supports healing. These tools help deliver same-day full-arch options when appropriate.

Preparing For Your Visit & What To Expect After Surgery

Bring your medical history, insurance information, and any referral notes. Plan for a ride home if you use IV sedation. After surgery, expect mild swelling, bruising, and discomfort that usually improve in a few days. Follow pain control and oral hygiene instructions, eat soft foods initially, and attend scheduled follow-up appointments to monitor your healing progress.

Finding dental implants prosper tx: Next Steps

To move forward, schedule a consultation and bring your recent dental X-rays, if available. Ask for a digital treatment plan and cost estimate. If financing is needed, discuss options before treatment. Requesting a consultation will provide you with a clear plan, timeline, and personalized price, allowing you to make an informed decision about restoring your smile.

Share this post

Experience Outstanding, Expert-Based Care

Nobody treats you better.