What Are Bottom Wisdom Teeth & Why They’re Removed?

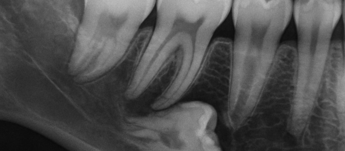
A close-up x-ray of bottom wisdom teeth impacted in the jaw, with one tooth pressing against the adjacent molar, causing potential damage. No text on image.

Bottom wisdom teeth are the third molars that come in at the very back of the lower jaw. They matter because their position and growth can cause pain, infection, damage to nearby teeth, or nerve symptoms. In this article you’ll learn what lower back wisdom teeth are, how they can cause problems, common signs that they may need removal, how dentists evaluate them, what to expect during extraction, basic recovery steps, whether all lower back wisdom teeth must be removed, and when a board-certified oral surgeon is a smart choice.

What Are Bottom Wisdom Teeth?

Back wisdom teeth are the third molars on the lower jaw, usually erupting between ages 17 and 25. They are similar to upper wisdom teeth but sit close to important anatomy like the inferior alveolar nerve that runs inside the lower jaw. Roots on lower wisdom teeth can be curved or near that nerve, which can affect how they are removed and the risk of numbness. Because of jaw size and tooth position, lower back wisdom teeth often run into trouble more than upper ones.

How Lower Back Wisdom Teeth Can Cause Problems

Impaction types

Lower back wisdom teeth can be fully impacted (still covered by bone), partially erupted (partly through the gum), or angled (tilting forward, backward, or sideways). Angled or impacted lower back wisdom teeth can press on the tooth in front, trap food and bacteria, or create pockets where infections start. The deeper the impaction and the closer the roots to the nerve, the more complex the extraction may be.

Common complications

Common problems from lower back wisdom teeth include: – Pericoronitis (gum infection around a partially erupted tooth) – Tooth decay on the wisdom tooth or adjacent molar – Cysts that form around an impacted tooth – Crowding or shifting of nearby teeth – Nerve irritation causing tingling or numbness – Repeated infections that affect chewing or swallowing

Signs and Symptoms That Bottom Wisdom Teeth May Need Removal

Watch for persistent or recurring pain at the back of the lower jaw, swelling of the gum or face, a bad taste in the mouth or drainage near the tooth, trouble opening the mouth fully, and repeated infections. Numbness, tingling, or unusual sensitivity in the lower lip, chin, or tongue can also signal nerve involvement and should be evaluated quickly. If you have any of these signs more than once, see an oral surgeon or dentist for an exam.

How Dentists and Surgeons Evaluate Lower Back Wisdom Teeth

Evaluation starts with a clinical exam of the mouth and gums. Imaging is essential: a panoramic X-ray shows overall tooth position and root length, while CBCT (3D cone beam) imaging shows exact root shape, nearby bone, and the relationship to the inferior alveolar nerve. 3D imaging can change the treatment plan—for example, revealing that a tooth thought to be simple will be close to the nerve and needs a specialist or different anesthesia.

What To Expect During Lower Back Wisdom Teeth Removal

A simple extraction removes a tooth that is fully erupted and easy to access. Surgical removal is needed when the tooth is impacted, has curved roots, or is covered by bone and gum. Anesthesia options include local numbing, IV sedation, or general anesthesia depending on complexity and patient comfort. Typical steps for surgical removal: incision in the gum, removal of bone if needed, sectioning the tooth if necessary, and closing the site with stitches. Most procedures take 20–60 minutes for one or two lower back wisdom teeth, longer if multiple teeth or complex roots are involved.

Recovery After Lower Back Wisdom Teeth Removal

Expect the most pain and swelling in the first 48–72 hours. Use prescribed or over-the-counter pain medicine, cold packs the first day, and switch to warm compresses after 48 hours if swelling persists. Eat soft foods (yogurt, soup, mashed potatoes) and avoid using a straw or smoking for at least a week. Limit strenuous activity for 3–5 days. Stitches may dissolve or be removed at a follow-up in 5–7 days. Watch for warning signs: heavy bleeding that won’t stop, fever over 101°F, severe uncontrolled pain, or new numbness in the lip, chin, or tongue—call your surgeon right away if these occur.

Do All Bottom Wisdom Teeth Need To Be Removed?

Not always. If lower back wisdom teeth are fully erupted, healthy, easy to clean, and not causing symptoms, a dentist may recommend observation and regular monitoring with X-rays. Factors that push toward extraction include recurring infections, damage to the adjacent tooth, cysts, risky root positions, and patient age (younger patients usually heal faster and have fewer complications). Keeping an asymptomatic wisdom tooth carries risks; regular checkups help catch changes early.

Why Choose a Board-Certified Oral Surgeon for Lower Back Wisdom Teeth

Board-certified oral and maxillofacial surgeons have advanced surgical training and experience managing difficult tooth positions and nerve-related risks. They offer sedation options for comfort, handle complications if they arise, and use modern imaging and techniques to protect nearby nerves and speed recovery. For impacted lower wisdom teeth near critical anatomy, a specialist can reduce risk and improve outcomes.

About Texas Center for Oral Surgery & Dental Implants

Texas Center for Oral Surgery & Dental Implants is a family-owned practice serving the Dallas–Fort Worth Metroplex with board-certified oral and maxillofacial surgeons. The Center offers on-site IV sedation, advanced 3D imaging (CBCT), and modern surgical tools to support safe, predictable removal of lower back wisdom teeth.

Schedule Your Bottom Wisdom Teeth Consultation Today

To schedule a consultation for wisdom tooth concerns, contact us at the Center to discuss evaluation and next steps.

Share this post

Experience Outstanding, Expert-Based Care

Nobody treats you better.