Real Patient Testimonials

Every Patient Has A Story To Tell

Testimonials

Before & After's

Reviews

Our Commitment To Success

Here at the Texas Center For Oral Surgery & Dental Implants, our passion is being able be part of the process of completely being able to save and transform our patients’ smiles. From routine wisdom teeth extractions to comprehensive All-In-One Smile™ solutions using dental implants, we have solutions for patients at any stage of their oral health.

Below, we’ve consolidated reviews from our patients to give you an idea of what to expect when you come to our doctors.

Our Patients Have The Best Stories

Patient Testimonials

Michelle

Double All-In-One Smile

Michelle's Transformation

Its is just such a great experience to wake up and not have that same failing looking smile that you had prior. This place felt like home.

Michelle's Problem

Michelle struggled with failing teeth for years, especially after losing her husband and her health insurance, leading to frequent infections, pain, and difficulty eating. The condition severely impacted her overall health and her ability to care for herself and her children. After a breaking tooth and a painful abscess, she realized she had to take action to improve her dental health for her future and her family’s well-being.

Michelle's Problem

Michelle struggled with failing teeth for years, especially after losing her husband and her health insurance, leading to frequent infections, pain, and difficulty eating. The condition severely impacted her overall health and her ability to care for herself and her children. After a breaking tooth and a painful abscess, she realized she had to take action to improve her dental health for her future and her family’s well-being.

Our Solution

Michelle's Problem

Michelle struggled with failing teeth for years, especially after losing her husband and her health insurance, leading to frequent infections, pain, and difficulty eating. The condition severely impacted her overall health and her ability to care for herself and her children. After a breaking tooth and a painful abscess, she realized she had to take action to improve her dental health for her future and her family’s well-being.

Our Solution

Michelle's Outcome

Watch Now

Ken

Double All-In-One Smile

Ken's Transformation

The fear went away because I knew that I had to have it done, and I felt like this was the place.

Ken's Problem

Ken struggled with gum disease for over 10 years, losing several teeth and unknowingly affecting his overall health. Despite knowing he needed treatment, he delayed action until the condition became unbearable, impacting his confidence and ability to smile.

After realizing the seriousness of his condition, Ken sought help at Texas Center for Oral Surgery & Dental Implants, where the team’s expertise and compassionate care eased his fears and provided a life-changing solution.

Ken's Problem

Ken struggled with gum disease for over 10 years, losing several teeth and unknowingly affecting his overall health. Despite knowing he needed treatment, he delayed action until the condition became unbearable, impacting his confidence and ability to smile.

After realizing the seriousness of his condition, Ken sought help at Texas Center for Oral Surgery & Dental Implants, where the team’s expertise and compassionate care eased his fears and provided a life-changing solution.

Our Solution

Ken's Problem

Ken struggled with gum disease for over 10 years, losing several teeth and unknowingly affecting his overall health. Despite knowing he needed treatment, he delayed action until the condition became unbearable, impacting his confidence and ability to smile.

After realizing the seriousness of his condition, Ken sought help at Texas Center for Oral Surgery & Dental Implants, where the team’s expertise and compassionate care eased his fears and provided a life-changing solution.

Our Solution

Ken's Outcome

Watch Now

a photo of raegan a patient at Texas Center for Oral Surgery & Dental Implants

Upper and Lower All-In-One Smile

Raegan's Transformation

I felt this new sense of self... It made such a difference. I didn't understand how much of an impact it would give me, not just from confidence, but also eating and feeling normal again.

Raegan's Problem

Raegan’s life was marked by significant trauma, starting with the loss of all her teeth at 16, which led to severe self-esteem issues and an eating disorder. The shame and isolation from not having teeth made her withdraw from others, struggling to even talk or engage socially. After years of feeling unworthy and hopeless, she found a team willing to address her complex case with zygomatic implants, offering her not only a solution to her dental issues but also a renewed sense of worth and the ability to reclaim her life.

Raegan's Problem

Raegan’s life was marked by significant trauma, starting with the loss of all her teeth at 16, which led to severe self-esteem issues and an eating disorder. The shame and isolation from not having teeth made her withdraw from others, struggling to even talk or engage socially. After years of feeling unworthy and hopeless, she found a team willing to address her complex case with zygomatic implants, offering her not only a solution to her dental issues but also a renewed sense of worth and the ability to reclaim her life.

Our Solution

Raegan's Problem

Raegan’s life was marked by significant trauma, starting with the loss of all her teeth at 16, which led to severe self-esteem issues and an eating disorder. The shame and isolation from not having teeth made her withdraw from others, struggling to even talk or engage socially. After years of feeling unworthy and hopeless, she found a team willing to address her complex case with zygomatic implants, offering her not only a solution to her dental issues but also a renewed sense of worth and the ability to reclaim her life.

Our Solution

Raegan's Outcome

Watch Now

douglas

Double All-In-One Smile

Douglas's Transformation

I think between his technical skills, diagnosing, and then the labs actual crafting, I think the teeth are almost like a sculpture.

Douglas's Problem

Doug struggled with years of dental issues caused by teeth grinding, leading to broken and worn-down teeth, which affected his ability to smile, eat, and speak confidently. This left him feeling ashamed and embarrassed, carrying the emotional weight of neglect and judgment well into his 60s.

After realizing he didn’t deserve to live with these consequences, he decided to take action to improve his health and well-being, finding a supportive dental team that understood his anxiety and shared his optimism for a successful transformation.

Douglas's Problem

Doug struggled with years of dental issues caused by teeth grinding, leading to broken and worn-down teeth, which affected his ability to smile, eat, and speak confidently. This left him feeling ashamed and embarrassed, carrying the emotional weight of neglect and judgment well into his 60s.

After realizing he didn’t deserve to live with these consequences, he decided to take action to improve his health and well-being, finding a supportive dental team that understood his anxiety and shared his optimism for a successful transformation.

Our Solution

Douglas's Problem

Doug struggled with years of dental issues caused by teeth grinding, leading to broken and worn-down teeth, which affected his ability to smile, eat, and speak confidently. This left him feeling ashamed and embarrassed, carrying the emotional weight of neglect and judgment well into his 60s.

After realizing he didn’t deserve to live with these consequences, he decided to take action to improve his health and well-being, finding a supportive dental team that understood his anxiety and shared his optimism for a successful transformation.

Our Solution

Douglas's Outcome

Watch Now

Any Of These Sound Like You?

Our Reviews

Before & Afters

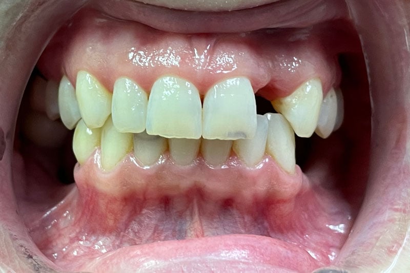
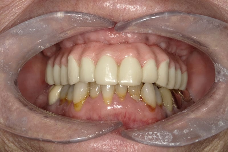
a patient with missing and rotted teeth that needs a full arch on top and bottoma patient with a full arch of teeth on top and bottom with implants holding it on

a patient with severely rotted teetha patient with a full arch of teeth on top and bottom

a patient with all his teeth missing and rotted teetha patient with 2 full arches of teeth on top and bottom

a patient that has many missing teeth and also has rotting teetha patient that has received a full arch of teeth on top and bottom with implants holding them in

a patient with missing and severely damaged teetha patient with a full arch of teeth on top to repair his smile

a patient with many rotten and missing teeth with jaw bone and gum recessiona patient after receiving both top and bottom full arches

a patient with severe orthodontic issues and in need of a full arch of teeth for decayBaBR-AFter

a patient with a missing set of teeth on top and damaged teeth on the bottoma patient after receiving a full arch of teeth with dental implants

Experience Outstanding, Expert-Based Care

Nobody Treats You Better.